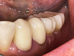
Keramikimplantate von SDS
BIOKOMPATIBEL
Hervorragende Verträglichkeit
Keramikimplantate sind hervorragend verträglich und heilen fest in den Knochen ein.
ÄSTHETISCH
Führ Ihr Wohlbefinden
Natürlich weiß, vereinen Keramikimplantate Ästhetik mit Gesundheit. Keine grauen Ränder sichtbar.
MEDIZINISCHE BEGLEITUNG
Vor- und Nachbehandlung
Durch das medizinische Begleitprotokoll sind keine bis wenig Schmerzen oder Schwellung zu erwarten.
LANGLEBIG
Hohe Belastbarkeit
Keramikimplantate von SDS sind darauf ausgelegt, ein Leben lang zu halten.
KÜRZERE BEHANDLUNGSZEIT
Sofortimplantation
Das einzigartige Protokoll von SDS und Keramikimplantaten sind darauf ausgelegt, dass innerhalb einer Sitzung Zähne extrahiert und sofort Implantate gesetzt werden können - ganz ohne Zeitverlust.
KERAMIK IST GESÜNDER
Ausgezeichnet verträglich
Keramik ist ein körperfreundlicher Werkstoff. Metalle in der Mundhöhle können den ganzen Körper beeinflussen. Keramikimplantate sind 100% biokompatibel
Unser kompetentes Team berät Sie gerne.
![]() | ![]() | ![]() |
|---|



